Resumen
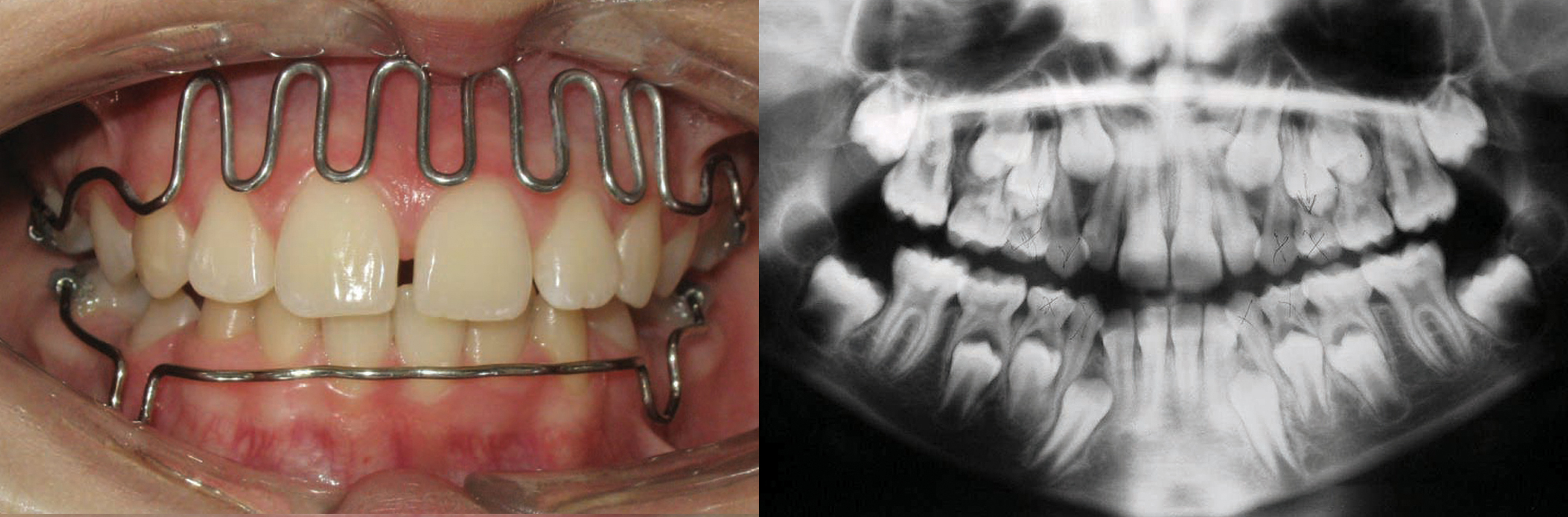
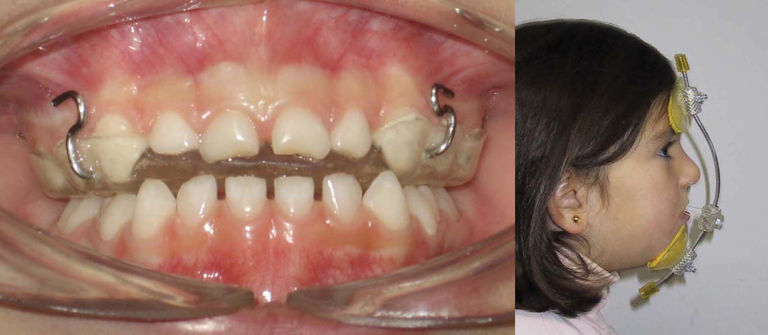
El propósito es presentar una propuesta clínica de intervención en niños basado en la experiencia de ocho años de aplicación piloto de terapias ortodóncicas tempranas en la Universidad de la Frontera en los pacientes de los alumnos de cuarto y quinto año de la Carrera de Odontología, así en consultorios de la región del sur de Chile. Se describen las bases para un adecuado diagnóstico y posterior tratamiento de anomalías frecuentes en niños, así como el desarrollo de la aparatología utilizada. En primer lugar el manejo de malos hábitos en pacientes clase II, luego la tracción frontal en pacientes clase III y finalmente el manejo del recambio en pacientes clase I. Aquellos pacientes que utilizan de buena manera sus aparatos obtienen resultados espectaculares. Por lo que la relación con los padres y la motivación a los niños son elementos fundamentales a la hora de decidir tratar a un niño con entrenadores, máscara de tracción o mantenedores de espacio dinámicos. A pesar de que no evita en todos los pacientes los tratamientos de ortodoncia correctiva, se mejoran las condiciones de los tejidos para una futura intervención de los especialistas. La dificultad encontrada en los servicios asistenciales en la aplicación de Ortodoncia temprana, contrasta con las políticas públicas de atención infantil que promueven una atención preventiva e interceptiva. Sin embargo la incorporación de aparatos prefabricados puede permitir el aumento de la cobertura, siempre y cuando los odontólogos que atienden niños comprendan su alcance y limitaciones.
Esta revista científica se encuentra registrada bajo la licencia Creative Commons Reconocimiento 4.0 Internacional. Por lo tanto, esta obra se puede reproducir, distribuir y comunicar públicamente en formato digital, siempre que se reconozca el nombre de los autores y a la Pontificia Universidad Javeriana. Se permite citar, adaptar, transformar, autoarchivar, republicar y crear a partir del material, para cualquier finalidad (incluso comercial), siempre que se reconozca adecuadamente la autoría, se proporcione un enlace a la obra original y se indique si se han realizado cambios. La Pontificia Universidad Javeriana no retiene los derechos sobre las obras publicadas y los contenidos son responsabilidad exclusiva de los autores, quienes conservan sus derechos morales, intelectuales, de privacidad y publicidad.
El aval sobre la intervención de la obra (revisión, corrección de estilo, traducción, diagramación) y su posterior divulgación se otorga mediante una licencia de uso y no a través de una cesión de derechos, lo que representa que la revista y la Pontificia Universidad Javeriana se eximen de cualquier responsabilidad que se pueda derivar de una mala práctica ética por parte de los autores. En consecuencia de la protección brindada por la licencia de uso, la revista no se encuentra en la obligación de publicar retractaciones o modificar la información ya publicada, a no ser que la errata surja del proceso de gestión editorial. La publicación de contenidos en esta revista no representa regalías para los contribuyentes.

